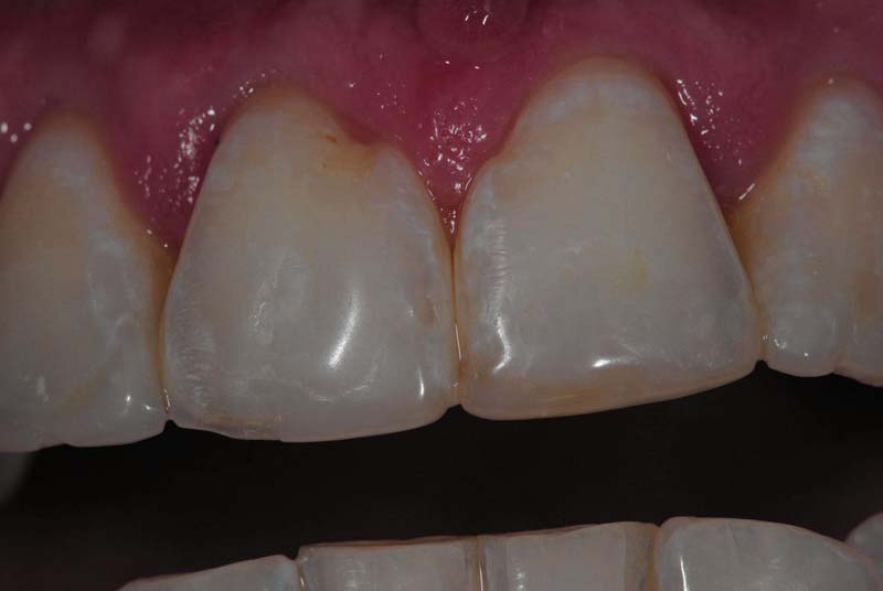
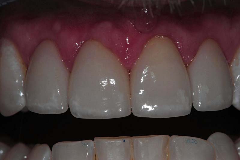
Dental Veneers
Improving your smile with Dental Veneers is a personal decision. We will have a conversation with you to determine if this is the right solution for your smile. We create custom smiles with your input and desires in mind. When it comes to designing your smile, the choice is yours.
Why might you consider veneers? Are your teeth misshapen, disproportionate, severely discolored, misaligned or otherwise unattractive. A beautiful set of veneers will produce immediate results that you will be proud to call your own. Just wait until you hear the comments from your closest friends and spouse.
How will you feel with beautiful veneers? Happy!












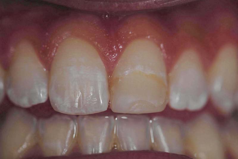
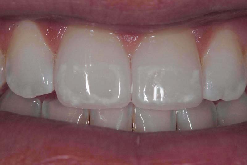
Cosmetic dental bonding in the hands of a skilled dentist can create wonderful results.
Learn MoreAs adults, many of us do not want bulky braces interfering with our professional careers. Invisable aligners offer an affordable discreet alternative. How would straighter teeth and perfect smile make you feel?
Learn MoreWant to look younger? Has your smile yellowed or become dull over the years? Dr. Osborn offers several options to meet your budget and make your smile look 10 years younger!
Learn More