Do you desire a stunning, beautiful smile without bulky metal braces? Invisible aligners are a great alternative.
If you decide to invest in yourself, a series of clear aligners from Clear Correct ® or Invisalign ® will do wonders for the visual aesthetics of your smile. Trust Dr. Osborn to lead you on the right path. Your spouse will thank you with the smile they give….every time they look at you.
How would straighter teeth and perfect smile make you feel?

Prior to starting Clear Aligners, you will need to meet with Dr. Osborn to determine if you are a good candidate for Clear Aligners. Our dentist may recommend Clear Aligners to treat orthodontic issues that are usually treated with braces like, crowded or crooked teeth, gaps and spaces in teeth, as well as bite-related problems like overbites and underbites.
Clear Aligners is beneficial for patients who would like a near-invisible orthodontic treatment. Clear Aligners are comfortable and removable, allowing you to easily remove them to eat, brush and floss. If you are interested in speaking to our dentist about getting Clear Aligners, please call our office at 303-799-9993 today.


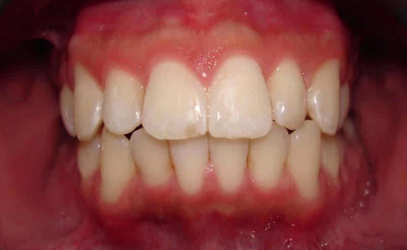
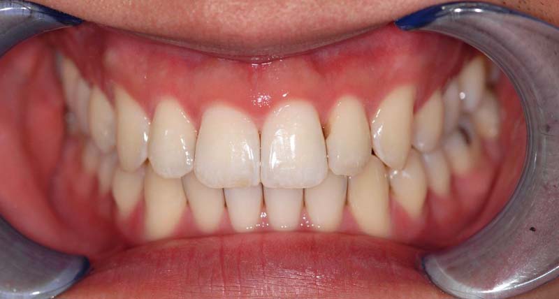
Cosmetic dental bonding in the hands of a skilled dentist can create wonderful results.
Learn MoreWhy Invest in Dental Veneers? A beautiful set of veneers will give you the confidence and appeal to live your best life. Your Smile is About You….How Do You Want to Feel?
Learn MoreWant to look younger? Has your smile yellowed or become dull over the years? Dr. Osborn offers several options to meet your budget and make your smile look 10 years younger!
Learn More